歯医者さんと言えば、昔は「歯が痛くなったら行く」ところでした。
でも歯っていがいと痛くならないものなのです。
痛くなってからだと皆さんの苦手な麻酔のお注射が必要になりますし
治療回数も費用もかさんできます。
治療が1回ですんで麻酔もいらないとなると
通常は
C1までです。
つまり、できることなら、
虫歯はC1以内に留めておきたい
ということになります。
痛みが出るのは一般的には
C2以上ですが、
C2以上でも痛みがないこともあります。
C3以上では抜髄(神経をとる)が必要になりますが
こうなると治療回数もぐっと増えますし歯の寿病も短くなります。
そして抜歯になってしまうと
ブリッジや入れ歯、インプラントなど回数も費用もぐっと増えます。
でも、自分で
C0、C1の虫歯を発見するのはとても難しいことです。
ですから虫歯になる前に歯医者さんに行ってチェックしてもらうというのが
ベストチョイスといえます。
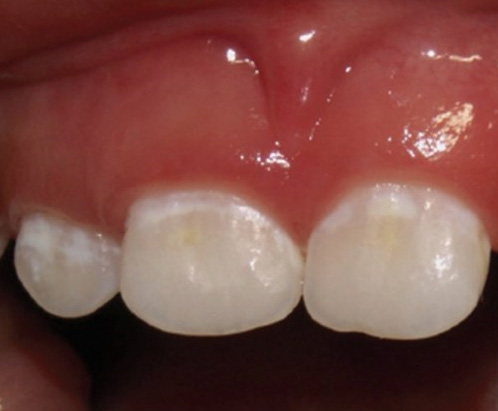
ちなみに
C0はこのような状態です。
歯の表面がちょっと白くなっています。エナメル質の表層が溶け始めているのです。

この状態でしたらフッ素塗布をして、
家でフッ素入り歯みがきでケアしてもらい経過観察します。
ケアがうまくいけば、虫歯は再石灰化されて詰める治療をせずに済みます。
こちらはレントゲンですが、左端の奥歯に虫歯で大きな穴が開いているのがわかります。

これは77歳の女性でしたが、主訴は「歯の間にものがはさまる」でした。
こんな大きな虫歯があっても痛みはありませんでしたし、歯の上からは穴は見えませんでした。でも虫歯は
C3で歯髄(神経)まで進んでおり、抜髄(神経を取る)となりました。
このように痛みは個人差が大きいもので、痛くなってから行くのでは本当に手遅れなのです。
とはいえ、仕事や家事、育児、介護など毎日忙しく過ごす中で痛くもないのに歯医者に行くのは難しい。しかも歯医者の治療は痛くて怖い..。でも歯はとても大切です。思い切って何にも症状がなくても歯医者さんに行ってみる、そしてメンテナンスのレールに乗る。それが一番歯にもお財布にも優しいことなのです。